Dental Crowns and Bridges
Broken teeth and missing teeth can make it difficult to enjoy your favourite dishes and to eat or speak properly.
If chewing feels painful or you want to fill the gap in your smile, you can count on long-lasting, aesthetic restorations at Melville Family Dental. Our dentists are both gentle and experienced in placing all types of dental restorations using modern techniques and the finest, tooth-coloured materials.
Fixing a Broken Tooth
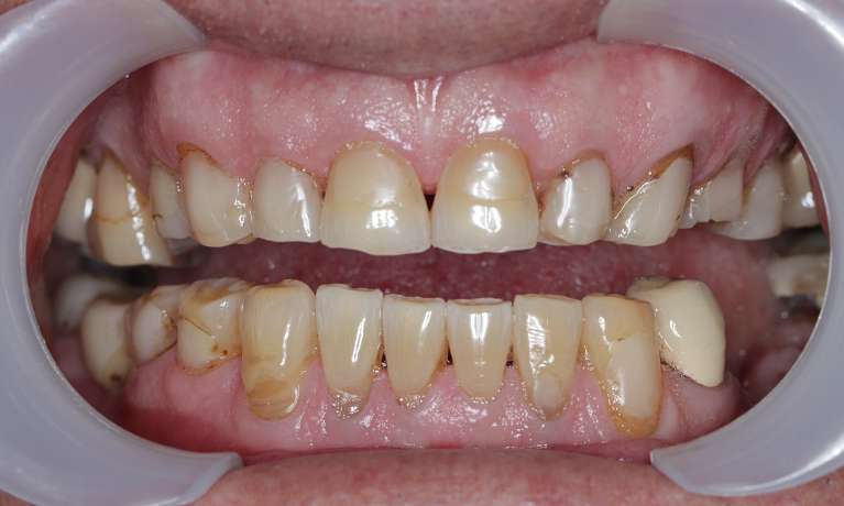
Broken or deeply decayed teeth require more stability than a dental filling can provide. Because dental crowns, also called caps, cover the entire tooth above the gumline, they reinforce a tooth to protect it from splitting or additional damage.
At Melville Family Dental, we offer both durable full gold restorations and natural-looking tooth coloured ceramic. The type of crown that your dentist recommends depends on your specific needs and your preferences. We will go over the benefits and limitations of each.
Using our intraoral camera, we can display an image of your tooth or teeth on our treatment room monitors. Seeing a picture helps patients make an informed choice.
Dental Crown Procedure
Dental crowns are customised to fit with your natural teeth perfectly and provide comfortable function. Because a dental crown fits over your natural tooth, your dentist will prepare your tooth in such a way that your crown does not look or feel bulky.
- Digital x-rays
- Tooth preparation
- Impressions of teeth and bite
- Shading and colour choice for ceramic crowns
- Temporary crown to protect the prepared tooth
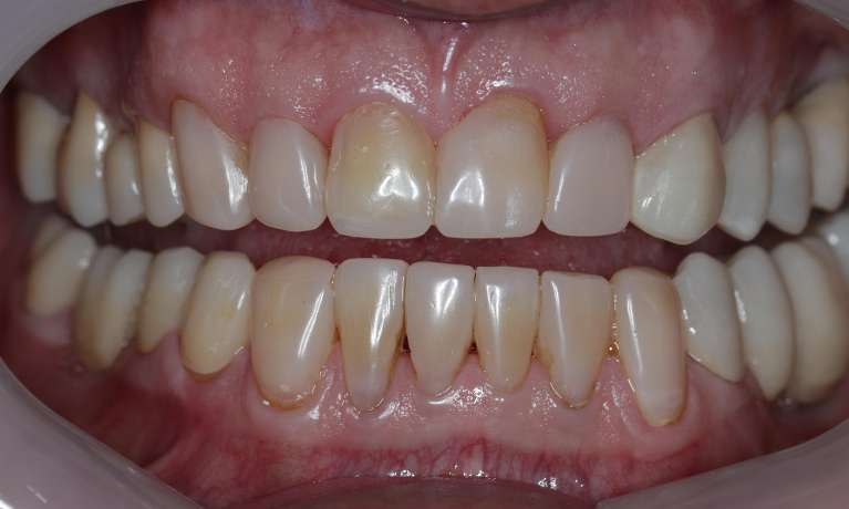
We use a trusted local Australian dental lab to create your final restoration. Once it arrives in about two weeks, we will remove the temporary, bond your final crown in place and make any small adjustments to ensure proper occlusion (bite).
Dental Bridges to Complete Your Smile
Dental bridges replace missing teeth, using custom dental crowns on healthy adjacent teeth to hold an artificial tooth, filling the gap caused by extraction or tooth loss. Dental crowns come in a single unit made of aesthetic, tooth-coloured ceramic.
Ceramic bridges match your natural teeth in both shape and colour. Your dentist will meticulously design dental crowns to restore comfortable chewing and to add self-confidence to your appearance. Replacing a missing tooth is about more than aesthetics. By filling the gap in your smile, you are protecting your bite.
A space left by a missing tooth causes your natural teeth to lean toward the gap, causing exposed roots and misalignment.
Keeping your teeth and gums healthy will provide greater longevity for your dentistry.
- Brushing at least twice daily
- Flossing at least once daily
- Dental clean and check-up twice yearly
- Diagnostic x-rays
Bridges require some special care to prevent gum disease and decay developing beneath dental crowns. Tiny brushes and specially designed dental floss will make caring for your dental bridge convenient.
Broken Tooth? Missing Tooth?
Say goodbye to painful teeth and an embarrassing smile.
Restorative dentistry in our Melville dental clinic will give you back your oral health and self-confidence. Contact us to arrange a dental exam, and we will explain all of your options. Your smile means your dentistry is your choice to make. Our entire team is dedicated to helping you achieve your goals for your smile.
Frequently Asked Questions
Each dental restoration serves a different purpose when repairing teeth. In most cases, we offer aesthetic tooth-coloured restorations to blend in naturally with your smile. We may recommend a dental crown to repair broken or deeply decayed teeth because they add strength and durability that prolongs the life of your tooth.
We use dental crowns created by a trusted local dental lab to completely cover your tooth above the gumline. When you chew, dental crowns support your tooth by taking most of the force and protecting the structure underneath.
Fillings seal teeth after removing decay and can provide cosmetic reshaping of teeth. Composite, the tooth-coloured material we use to fill teeth, will match the shape and colour of your tooth. Your Melville dentist will apply the composite in layers and harden it with a curing light. The dentist will polish the filling to blend in with the tooth and keep out bacteria.
Onlays and inlays are lab-created restorations that are a hybrid of an indirect filling and a dental crown. They cover a portion of the tooth to repair a fracture or improve the bite.
We will always discuss your restorative options and help you make an informed decision. Whether you need a filling or crown, we welcome you to get in touch with our Melville dental practice.
A dental crown is a custom-made “cap” that covers a damaged or weakened tooth to restore its shape, strength, and appearance.
A dental bridge is used to replace one or more missing teeth by anchoring an artificial tooth to the surrounding natural teeth or implants.
Our Team
-
Dr Lidia Palenberg BDSc (Aachen, Germany)
Dr Lidia A Palenberg is a Polish General Dentist with over 17 years of experience working in her own practice and also as a contractor. She speaks English, German and Polish.
Practicing all aspects of modern dentistry, Lidia believes in dental health improvement for patients of all backgrounds including highly anxious patients. She pays attention to your personal situation and plans your treatment accordingly.
Lidia endeavors to make your visit as relaxed as possible utilising her experience in Dental Hypnosis and Sedation.Lidia established her first own family practice in 2004 in the ...
Read More