Dentures and Partial Dentures
If you can’t eat the foods you enjoy because of missing teeth or you feel embarrassed about smiling because of tooth loss, our Melville dental clinic can give you a complete smile and improved diet by replacing your missing teeth.
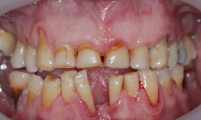
Patients facing extraction of existing teeth or who wish to regain the ability to chew, speak and smile may consider dentures as a practical solution to complete their smiles.
Aesthetic Dentures That Fit Well
Our dentists create dentures that truly satisfy the expectations of modern patients with busy social calendars and professional demands.
While dentures in past decades looked generic and posed challenges for proper fit and function, modern dentures have improved in all aspects of comfort and appearance. At Melville Family Dental, we provide high-quality dentures to solve the problem of missing teeth.
Extractions and Dentures the Same Day
Many patients facing full mouth extractions prefer not to wait several months for healing so they can have their dentures. With proper planning, Dr Lidia and Dr Anni will have immediate dentures available on the same day as your extractions.
Regular adjustments and relines will assist with maintaining your immediate dentures throughout the healing process.
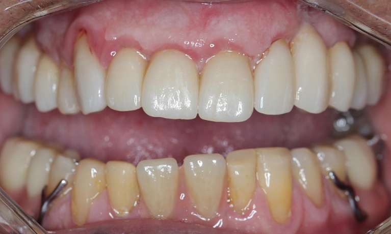
Complete (Full) Dentures
Edentulous (fully extracted teeth) cases often benefit from complete dentures to replace the entire upper arch, lower arch or both. Full dentures rely on the bony ridge beneath the gums to secure dentures in place.
Unlike dentures from just a few decades ago, today’s complete dentures come in a lightweight pink resin base and realistic denture teeth for gender- and age-appropriate aesthetics. With the variety of denture teeth today, your dentures will blend in with your facial features and skin tone.
Because bone quality diminishes with tooth loss, dentures may require replacement every 5 to 8 years. In-house and laboratory relines can maintain fit in between each set of complete dentures.
Partial Removable Dentures
Patients with some remaining teeth often choose partial dentures, which clasp onto remaining teeth. Patients can choose between lightweight acrylic or chromium options depending on their cosmetic goals and the demands of their lifestyles.
Aesthetically focused, our dentists will match your partial denture to your natural teeth for a seamless smile.
Full Arch Implant-Supported Restorations
For patients who want improved stability and to avoid slipping or falling dentures, your dentist will secure dentures in place using 4 to 6 dental implants per arch. Sufficient bone will be necessary to ensure dental implants will be strong enough to withstand the force caused by chewing.
Telescopic Dentures 
Details: Telescopic denture technology can be used for many different dental treatments, including replacing several missing teeth, full arch restorations, and improving loose traditional dentures. It can be supported by natural teeth, dental implants, or a combination of both, making it a flexible option for many patients. This system is especially helpful for people who want better stability, easier cleaning, and a more affordable alternative to full implant treatments. It can also be adjusted or repaired more easily over time, making it a practical long-term solution.
Patients Best Suited For include patients who are missing multiple teeth and want a more secure alternative to traditional dentures. It is a great option for people who still have some healthy natural teeth, those who may not be suitable for full dental implant treatment, or anyone looking for a more affordable solution. It is also ideal for patients who want better comfort, easier cleaning, and a denture that can be adjusted or repaired more easily in the future.
Benefits: One of the biggest unique benefits of telescopic dentures is the combination of strong stability with the convenience of being removable for easy cleaning. Patients often notice improved comfort, better chewing ability, and more confidence compared to traditional dentures because the fit is much more secure. We also see positive long-term outcomes because the design allows for easier repairs, adjustments, and maintenance if dental needs change over time. For many patients, it provides an affordable way to achieve a natural-looking and reliable smile without more complex implant treatment.
Are You Ready for a Complete Smile?
We welcome you to give us a call to discuss denture options or to go over the many choices we offer patients for a beautiful and comfortable smile after tooth loss.
Our Team
-
Dr Lidia Palenberg BDSc (Aachen, Germany)
Dr Lidia A Palenberg is a Polish General Dentist with over 17 years of experience working in her own practice and also as a contractor. She speaks English, German and Polish.
Practicing all aspects of modern dentistry, Lidia believes in dental health improvement for patients of all backgrounds including highly anxious patients. She pays attention to your personal situation and plans your treatment accordingly.
Lidia endeavors to make your visit as relaxed as possible utilising her experience in Dental Hypnosis and Sedation.Lidia established her first own family practice in 2004 in the ...
Read More
Dentures and Partial Dentures Technology
Telescopic Dentures
Details: Telescopic denture technology can be used for many different dental treatments, including replacing several missing teeth, full arch restorations, and improving loose traditional dentures. It can be supported by natural teeth, dental implants, or a combination of both, making it a flexible option for many patients. This system is especially helpful for people who want better stability, easier cleaning, and a more affordable alternative to full implant treatments. It can also be adjusted or repaired more easily over time, making it a practical long-term solution.
Patients Best Suited For include patients who are missing multiple teeth and want a more secure alternative to traditional dentures. It is a great option for people who still have some healthy natural teeth, those who may not be suitable for full dental implant treatment, or anyone looking for a more affordable solution. It is also ideal for patients who want better comfort, easier cleaning, and a denture that can be adjusted or repaired more easily in the future.
Benefits: One of the biggest unique benefits of telescopic dentures is the combination of strong stability with the convenience of being removable for easy cleaning. Patients often notice improved comfort, better chewing ability, and more confidence compared to traditional dentures because the fit is much more secure. We also see positive long-term outcomes because the design allows for easier repairs, adjustments, and maintenance if dental needs change over time. For many patients, it provides an affordable way to achieve a natural-looking and reliable smile without more complex implant treatment.